Bé gái 7 tuổi vô tình được phát hiện u quái trong bụng nhờ bị viêm phổi
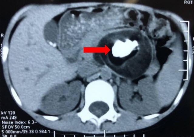
Khối u quái có đường kính 8 cm chứa tóc, răng, xương hàm nằm trong cơ thể bé gái 7 tuổi đã được các bác sĩ phẫu thuật thành công bằng phương pháp nội soi.
Bệnh nhi là bé gái T.T.H.G., 7 tuổi, ở Chí Linh, Hải Dương. Theo lời mẹ bệnh nhi, trước đó sức khỏe của trẻ hoàn toàn khỏe mạnh.

Cách vào viện khoảng một tuần, trẻ đến khám tại Trung tâm Y tế Thị xã Đông Triều do viêm phổi và được phát hiện có khối u trong ổ bụng. Sau đó, trẻ được nhập viện Việt Nam-Thụy Điển Uông Bí tiếp tục điều trị.
Qua thăm khám và kết quả các xét nghiệm cần thiết, các bác sĩ Bệnh viện chẩn đoán trẻ có khối u quái sau phúc mạc và có chỉ định phẫu thuật cắt bỏ khối u.
Sau hơn một giờ phẫu thuật bằng phương pháp nội soi, các bác sĩ đã tiếp cận và cắt bỏ toàn bộ khối u quái đường kính 8cm với các cấu trúc mô cơ thể như răng, xương hàm, tóc, da đầu... Khối u được chuyển làm giải phẫu bệnh cho kết quả u quái thành thục, không có tế bào ác tính.

U quái (teratoma) là hệ quả của tình trạng đột biến trong quá trình tăng trưởng cơ thể, liên quan đến cách các tế bào phân chia và biệt hóa từ trong bào thai. U quái chủ yếu phát triển từ tế bào mầm, loại tế bào có khả năng biệt hóa thành bất kỳ loại tế bào nào khác trong cơ thể. Điều này giải thích cho việc có thể tìm thấy các loại tế bào mô khác nhau như tóc, cơ, răng hoặc xương… bên trong u quái, thậm chí loại u này còn có thể phát triển giống như bào thai.

U quái thường hình thành ở buồng trứng, tinh hoàn hoặc xương đuôi và ít gặp hơn ở các bộ phận khác. U sau phúc mạc chỉ chiếm khoảng 0,16% các loại khối u, và u quái sau phúc mạc cũng là thể hiếm gặp.
Theo các bác sĩ khoa Phẫu trị - Xạ trị & Y học hạt nhân, Bệnh viện Việt Nam-Thụy Điển Uông Bí, mặc dù tên gọi là u quái nhưng phần lớn u quái là lành tính. Tuy nhiên nếu không phát hiện và xử trí sớm, khối u sẽ phát triển to dần chèn ép các cơ quan xung quanh hoặc hoại tử, chảy máu... Việc cắt bỏ khối u khi đó sẽ khó khăn hơn rất nhiều.
Sau mổ, sức khỏe trẻ ổn định và được xuất viện.