Hà Nội yêu cầu xác minh vụ trẻ mầm non bị ngã gãy tay tại trường
Sở GD&ĐT Hà Nội yêu cầu Phòng GD&ĐT quận Hai Bà Trưng và nhà trường xác minh, làm rõ việc trẻ bị ngã gãy tay tại trường mầm non Vườn trẻ thơ (250 Minh Khai).

Sáng 27/9, một lãnh đạo Sở GD&ĐT Hà Nội cho biết, ngay sau khi tiếp nhận thông tin về sự việc phụ huynh phản ánh con bị ngã gãy tay tại trường mầm non Vườn trẻ thơ (Kid's Garden - 250 Minh Khai), đơn vị đã yêu cầu Phòng GD&ĐT quận Hai Bà Trưng xuống trường để xác minh sự việc và cùng phối hợp giải quyết.
Sở cũng yêu cầu làm rõ trách nhiệm của giáo viên, nhà trường trong sự việc này và có biện pháp xử lý phù hợp.
Lãnh đạo Sở cũng chỉ đạo các đơn vị chức năng phải tập trung phối hợp với gia đình chăm lo sức khoẻ, ổn định tinh thần cho trẻ.
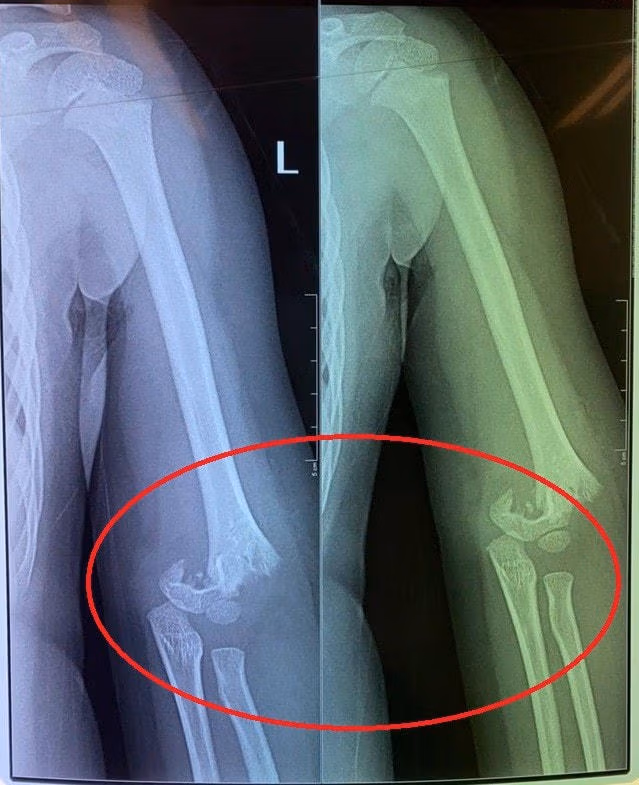
Bà Trần Thu Hà, Phó trưởng Phòng GD&ĐT quận Hai Bà Trưng xác nhận, có sự việc cháu bé 5 tuổi tại trường mầm non Vườn trẻ thơ (Kid's Garden) bị ngã gãy xương cánh tay và phải nhập viện.
Theo bà Hà, hiện Phòng cùng các cơ quan chức năng của quận đang vào cuộc xác minh sự việc để tìm hiểu nguyên nhân và dự kiến trong đầu tuần tới sẽ có thông tin cụ thể.
Một đại diện Trường mầm non Vườn trẻ thơ (Kid's Garden) cho hay, nhà trường đang phối hợp với các ban ngành, gia đình để giải quyết sự việc và sẽ thông tin tới báo chí sau.
Trước đó, chị Nguyễn Thị Thu H. (30 tuổi, Hà Nội) cho biết, con gái chị là N.B.P. (5 tuổi) bị gãy tay trong giờ học tại Trường Mầm non Vườn trẻ thơ (Kid’s Garden, địa chỉ tại Chung cư Thăng Long Garden, 250 Minh Khai, Hai Bà Trưng, Hà Nội).
Tuy nhiên, cách xử lý khi sự việc xảy ra của nhà trường đã khiến chị và gia đình bức xúc.
Theo chị H., sự việc xảy ra khi các học sinh lớp cháu P. được 1 cô giáo dẫn ra khu vui chơi ngoài trời ở chung cư, ngoài khuôn viên của trường mầm non chơi.
Tại đây, cô giáo để học sinh chơi tự do khiến cháu P. bị ngã ở khu vực cầu trượt và bị thương. Mặc dù, cháu kêu khóc đòi gọi mẹ nhưng các cô giáo vẫn cho về trường và cho cả lớp ăn xong rồi mới đưa bé vào viện, thông báo cho gia đình.
Khi cô giáo thông báo gia đình vào làm thủ tục nhập viện, chị H. bị sốc khi biết con phải mổ cấp cứu, có nguy cơ bị liệt và xem phim chụp XQ thấy xương ở khuỷu tay bị gãy lìa.
Người mẹ này cho biết thêm, sở dĩ sự việc xảy ra từ 15/9 nhưng đến nay, mới chia sẻ là do thời gian qua tập trung chăm sóc cho con nên không có thời gian và phía nhà trường đã thể hiện sự thiếu trách nhiệm.