Xu hướng gia tăng ca bệnh viêm phổi cộng đồng và cách phòng ngừa
Ngày 19/12, Bệnh viện Đa khoa tỉnh Phú Thọ thông tin, thời gian gần đây, bệnh viện liên tục tiếp nhận các các bệnh viêm phổi mắc phải ở cộng đồng. Đáng lưu ý, có nhiều người bệnh còn trẻ tuổi, không có bệnh nền nhưng mức độ tổn thương phổi khá nặng nề.
Xu hướng gia tăng
Theo thống kê từ khoa Nội hô hấp – Tiêu hóa, Bệnh viện Đa khoa tỉnh Phú Thọ, trung bình mỗi tháng khoa tiếp nhận từ 10 – 15 ca bệnh mắc viêm phổi cộng đồng. Riêng trong tháng 11 và đầu tháng 12, số ca bệnh có xu hướng tăng đột biến cả về số lượng và mức độ.
Mới đây nhất là trường hợp người bệnh nữ 34 tuổi, tiền sử khỏe mạnh, không mắc bệnh lý mạn tính, vào viện vì ho khạc đờm, sốt, khó thở. Người bệnh tự dùng kháng sinh đường uống tại nhà nhưng tình trạng không cải thiện.
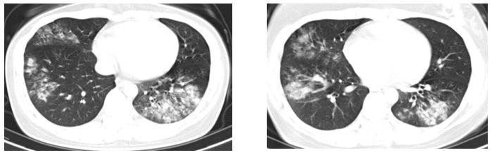
Xét nghiệm cho thấy chỉ số viêm tăng cao, phim chụp ngực ghi nhận thâm nhiễm viêm cả hai phổi. Người bệnh được điều trị kháng sinh đường tĩnh mạch tích cực, xét nghiệm loại trừ các nguyên nhân khác (lao, u phổi,…). Bệnh cải thiện, sức khỏe người bệnh ổn định và ra viện sau 10 ngày điều trị.

Viêm phổi là tình trạng nhiễm trùng xảy ra ở các phế nang, tiểu phế quản, phế quản tận,… Viêm phổi xảy ra ở ngoài cộng đồng dân cư được gọi là viêm phổi cộng đồng. Khi bị viêm phổi, trong các phế nang của người bệnh chứa đầy dịch viêm xuất tiết, gây ra các triệu chứng lâm sàng và biến đổi trên phim chụp ngực.
Nguyên nhân gây bệnh
Viêm phổi có thể do nhiều tác nhân gây ra như: vi khuẩn, virus, nấm, do thuốc.
Viêm phổi do vi khuẩn: là tác nhân thường gặp nhất. Các vi khuẩn thường gặp là: phế cầu, Heamophilus influenza, vi khuẩn không điển hình,… Đa số các nguyên nhân này thường đáp ứng với điều trị kháng sinh thông thường. Tuy nhiên hiện nay, do tình trạng sử dụng kháng sinh bừa bãi, tỷ lệ kháng kháng sinh ngày càng cao, gây khó khăn cho điều trị.
Viêm phổi do virus: ít gặp hơn so với căn nguyên vi khuẩn. Một số loại virus có diễn biến rất nhanh gây suy hô hấp, tử vong. Tuy vậy, nếu được chẩn đoán và điều trị kịp thời thì bệnh tiến triển rất nhanh, ít để lại di chứng.
Viêm phổi do nấm: ít gặp hơn. Bệnh thường gặp ở người bệnh có bệnh nền như đái tháo đường, ghép tạng, bệnh máu ác tính,… Các loại viêm phổi do nấm thường gặp là viêm phổi do nấm aspergillus, cryptococus,… Đa số các trường hợp đều nặng, diễn biến nhanh nếu không được chẩn đoán và điều trị kịp thời.
Triệu chứng của bệnh viêm phổi

Viêm phổi có triệu chứng rất đa dạng và không đặc hiệu, có thể nhầm lẫn với các bệnh hô hấp khác. Ho khạc đờm là triệu chứng hay gặp nhất, từ ho khan đến ho khạc nhiều đờm, ho ra máu. Sốt là biểu hiện của sự nhiễm khuẩn và cũng thường gặp. Khi mức độ tổn thương phổi rộng, phần nhu mô phổi lành không đáp ứng được nhu cầu trao đổi khí của bệnh nhân sẽ dẫn đến hiện tượng khó thở. Các triệu chứng khác như ho ra máu, đau ngực cũng có thể gặp nhưng ít hơn.
Triệu chứng đặc trưng thường là thâm nhiễm mới ở phổi trên phim chụp X-quang, cùng với một hoặc nhiều các triệu chứng sau: sốt, ớn lạnh, ho, có đờm, khó thở, chứng đau cơ, đau khớp, đau do viêm màng phổi.
Ai có nguy cơ mắc viêm phổi cộng đồng?
Viêm phổi cộng động có thể xảy ra ở mọi người, kể cả người khỏe mạnh, không có bệnh nền nhưng một số đối tượng có nguy cơ mắc bệnh cao hơn như:
- Người có bệnh mạn tính: tăng huyết áp, đái tháo đường, bệnh phổi tắc nghẽn mạn tính,…
- Người già, trẻ em, phụ nữ có thai.
- Người bệnh suy giảm miễn dịch: dùng thuốc ức chế miễn dịch, suy tuyến thượng thận, ghép tạng…
Làm gì để phòng ngừa viêm phổi cộng đồng?
- Điều trị và kiểm soát tốt bệnh nền như tăng huyết áp, đái tháo đường, bệnh phổi tắc nghẽn mãn tính… và điều trị triệt để các ổ nhiễm khuẩn vùng tai mũi họng.
- Vệ sinh răng miệng, đường hô hấp trên.
- Tiêm vaccine phế cầu phòng ngừa viêm phổi, tiêm vaccine phòng cúm, đặc biệt người cao tuổi có bệnh lý mạn tính như COPD, suy tim mạn…
- Thực hiện chế độ ăn uống đầy đủ, tập luyện thể dục thể thao
- Rửa tay thường xuyên và đúng cách, che miệng và mũi bằng khẩu trang để ngăn ngừa nguồn bệnh, che miệng khi ho hoặc hắt hơi, tránh dùng chung đồ cá nhân, tránh tiếp xúc với những người mắc/nghi mắc bệnh.
- Giữ ấm cơ thể, nếu bị cảm lạnh cần chú ý điều trị khỏi, tránh để chuyển thành viêm phổi.
- Không hút thuốc, tránh môi trường có khói thuốc.