Bệnh viện C Đà Nẵng phẫu thuật thành công ca ung thư khí quản phức tạp
Đây là một trong những phẫu thuật khó, ít được triển khai thường quy, đòi hỏi trình độ chuyên môn cao, khả năng phối hợp liên chuyên khoa chặt chẽ và kinh nghiệm xử lý tình huống trong mổ.
Ngày 15/4, Bệnh viện C Đà Nẵng cho biết tình trạng bệnh nhân Đ.T.T (61 tuổi) mắc ung thư khí quản, được phẫu thuật cắt đoạn khí quản và tái tạo đường thở, đã hồi phục tốt.
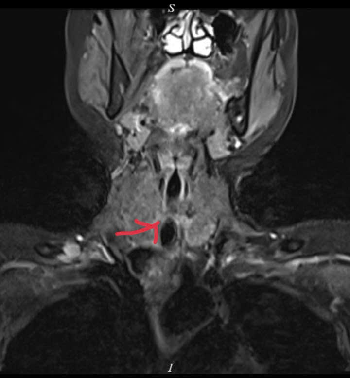
Trước đó, bà Đ.T.T nhập viện trong tình trạng khó thở kéo dài, thở khò khè nhiều tháng nhưng chưa xác định được nguyên nhân. Sau khi tiếp nhận, các bác sĩ Trung tâm Ung bướu (Bệnh viện C Đà Nẵng), với sự chỉ đạo của BSCKII Võ Trung Nghĩa (Giám đốc Trung tâm) đã đánh giá toàn diện, chỉ định các phương tiện chẩn đoán chuyên sâu và phát hiện khối u nằm trong khí quản.

Khối u nằm sát thanh quản, ngay đoạn trên của khí quản, khiến việc điều trị đặc biệt phức tạp. Đây là vùng giải phẫu hẹp, tập trung nhiều cấu trúc quan trọng liên quan đến hô hấp, phát âm và nuốt, vị trí này rất nguy hiểm vì chỉ cần bít tắc thêm một phần nhỏ cũng có thể đe dọa tính mạng.
Ê kíp điều trị cho biết, điểm khó nhất của ca mổ là bệnh nhân vừa có khối u gây hẹp đường thở, vừa cần gây mê để phẫu thuật. Do đó, việc kiểm soát hô hấp trong lúc mổ là thách thức rất lớn.
Ê kíp gây mê đã phát huy kinh nghiệm, phối hợp chính xác từng thời điểm với phẫu thuật viên, với sự hỗ trợ của BSCKII Nguyễn Hữu Hòa, bác sĩ giàu kinh nghiệm trong lĩnh vực phẫu thuật ung thư đầu cổ.

Các bác sĩ phải cắt bỏ hoàn toàn đoạn khí quản chứa khối u, đồng thời đảm bảo diện cắt sạch tế bào ung thư. Phần khí quản còn lành được nối lại với độ chính xác cao, để tái lập đường thở tự nhiên cho người bệnh.
Người bệnh được bảo tồn tối đa dây thần kinh chi phối giọng nói và các cấu trúc vùng cổ quan trọng, duy trì chất lượng cuộc sống sau điều trị.

Lãnh đạo Bệnh viện C Đà Nẵng cho biết, ca mổ thành công khẳng định năng lực chuyên môn ngày càng phát triển của đội ngũ bác sĩ trong lĩnh vực ngoại khoa chuyên sâu, đặc biệt là phẫu thuật ung thư vùng đầu cổ và lồng ngực.
“Việc làm chủ kỹ thuật khó: cắt – nối khí quản cho thấy bệnh viện đã xây dựng được đội ngũ phẫu thuật viên giàu kinh nghiệm, hệ thống gây mê hồi sức hiện đại và quy trình phối hợp đa chuyên khoa hiệu quả; tiếp tục khẳng định vị thế của Bệnh viện C Đà Nẵng là cơ sở y tế lớn, đủ năng lực tiếp nhận và xử trí các ca bệnh khó, bệnh hiếm, kỹ thuật cao. Đây là nền tảng quan trọng để tiếp tục triển khai các kỹ thuật cao, phục vụ người dân khu vực miền Trung – Tây Nguyên ngay tại địa phương”, lãnh đạo bệnh viện chia sẻ
Sau ca mổ, bệnh nhân tỉnh táo sớm, tự thở tốt, nói chuyện được và ăn uống bằng đường miệng.
Hiện bệnh nhân đang được chăm sóc tích cực tại bệnh viện, dự kiến có thể xuất viện trong tuần này.